Endodoncia

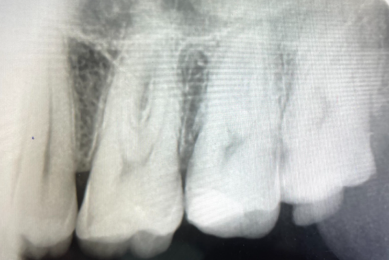
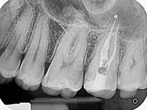
La endodoncia es la solución para conservar dientes que han sido afectados por caries profundas o trauma, eliminando el tejido dañado y protegiendo la estructura dental.

Resultados que se ven

Beneficios de Endodoncia

En AIEN, realizamos endodoncias utilizando lo último en tecnología radiográfica y tomografía, asegurando tratamientos eficientes y precisos que mantienen tus dientes funcionales y sin dolor

  • Preserva los dientes naturales evitando extracciones.
  • Alivia el dolor y restaura la funcionalidad dental.
  • Técnicas avanzadas para tratamientos precisos y confortables.
Scroll al inicio
×